smiling lady with grey hair holding child
Badge field

Single Tooth Implants

Published date field

Columbia

When Is This Used?

Single-tooth implants can be used in people who are missing one or more teeth. An implant is surgically placed in an opening that your dentist makes in the jawbone. After the implant integrates (attaches) to your bone, it acts as a new "root" for the crown that will replace your missing tooth. A crown (cap), which is made to look like a natural tooth, is attached to the implant and fills the space left in the mouth by the missing tooth.

For this procedure to work, there must be enough bone in the jaw. The bone has to be strong enough to hold and support the implant. If there is not enough bone, it may need to be added with a procedure called bone augmentation or bone grafting. In addition, natural teeth and supporting tissues near where the implant will be placed must be in good health.

 

SingleToothImplants1
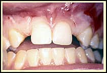
This person is missing the teeth to the left and right of the two front teeth.

How Do They Work?

An implant-restored tooth consists of several parts.

  • The implant, which is made of titanium, is placed in the upper or lower jawbone.
SingleToothImplants2

X-ray of an implant in bone

  • The abutment can be made of titanium, gold or porcelain. It is attached to the implant with a screw. This part connects the implant to the crown. It is shaped like a natural tooth that has been cut down to receive a crown.
SingleToothImplants3

Gold custom abutment

  • The restoration (the part that looks like a tooth) is a crown. It usually is made of porcelain fused to a metal alloy (PFM). It also can be all metal or all porcelain. The crown is screwed or cemented onto the abutment. If the crown is screwed to the abutment, the screw hole will be covered with restorative material such as tooth-colored filling material (composite).
SingleToothImplants4

The final crown in place

The Implant Process

The time frame for completing the implant and crown depends on many factors. When the traditional method of placing an implant is used, the shortest time frame for a complete implant is about five months in the lower jaw and six months in the upper jaw. This includes surgeries and placing the permanent crown. However, the process can last a year or more, particularly if bone needs to be built up first.

In another technique, implants and healing caps are placed at the same time. If the dentist is using mini implants, he or she will place them as well as the crown, bridge or denture at the same visit.

In the traditional method, two procedures are required, with three to six months between them. During the first procedure, a small incision is made in the gum where the implant will be placed. A hole is drilled in the bone, the implant is placed into the hole in the bone, and the incision is stitched closed.

At the end of the healing period, a second procedure takes place. It involves making a new incision to expose the implant. A collar, called a healing cap, is screwed onto the top of the implant. It helps the surrounding gum tissue to heal. After a few weeks, the healing cap is removed. The abutment is screwed into the implant and used to support the crown.

A one-stage procedure is now used sometimes for implants. In this procedure, your dentist can place the implants, abutments and a temporary crown or bridge all in one visit.

Initial consultation
Before any work is done, you will visit either a specialist called a prosthodontist or a general dentist who has had advanced training in the placement and restoration of implants.

Your dentist will do a comprehensive examination. During the exam, he or she will review your medical and dental history, take X-rays, and create impressions of your teeth and gums so that models can be made. In some cases, the dentist also may order a computed tomography (CT) scan of your mouth. This scan will help your dentist determine how much jawbone is available to hold the implants in place. It also will show the location of structures such as nerves and sinuses (located above your upper teeth) so they can be avoided during surgery.

If the X-rays show that your jaw does not have enough bone to hold an implant, the dentist can discuss options for building up the bone. These may include bone grafting or bone distraction. Grafting involves taking bone from another source and adding it to your jaw. A graft could be your own bone, from your mouth, chin or hip. Processed cadaver, cow or pig bone also can be used. Another option is a synthetic material such as hydroxyapatite or calcium phosphate. Bone distraction is a surgical procedure at the site where more bone is needed. It causes the body to grow more bone by slowly pulling apart the existing bone using pins and screws.

If you need one of these procedures, it will take about 4 to 12 months for the bone to be ready for the implant.

First surgery — implant placement
Month 1 (if no bone grafting is necessary)
Month 5 (if bone grafting is necessary)

Once you have enough bone to successfully hold an implant, you will schedule the first procedure, which involves placing the implant or implants in your jaw. A periodontist, oral surgeon or general dentist with training in implantology performs this procedure. It is done using a plastic surgical guide made by your prosthodontist or general dentist. The guide fits over your existing teeth and extends over the area where teeth are missing to show where the implants need to be placed.

The most popular type is a root-form implant designed to serve as the root of the tooth. The implant is placed in the jawbone in the space created by the missing tooth.

After the first surgery, the specialist will wait four or five months if implants were placed in the lower jaw, and six or seven months if they were placed in the upper jaw. During this time, the bone and the implants fuse.

Second surgery and placement of healing collar and/or temporary crown
Month 4 or 5 (no bone grafting, lower jaw)
Month 6 or 7 (no bone grafting, upper jaw)
Month 8 or 9 (bone grafting, lower jaw)
Month 10 or 11 (bone grafting, upper jaw)

Once the implants have become fused with the bone, you can schedule the second surgery. Your dentist will confirm whether the implant is ready for the second surgery by taking an X-ray. This surgery is simpler than the first. A new incision is made to expose the heads (tops) of the implants.

SingleToothImplants5

A. Healing after second-stage surgery

A collar, called a healing cap, is placed on the head of the implant after it is exposed. This guides the gum tissue to heal correctly. The collar is a round piece of metal that holds the gum away from the head of the implant. (A) The collar will be in place for 10 to 14 days. If you previously had a removable partial denture, your dentist may adjust it so you can use it during this time.

SingleToothImplants6

B. Healing abutments help the gums to heal properly

After the tissue heals around the collar, it is removed. (B) Then an abutment is screwed into the implant and a final impression is made of the abutment for each tooth.

An abutment and temporary crown are placed on the implant. (C) The abutment is screwed onto the implant and tightened, using special equipment so that it won't come loose. After the abutment is attached to the implant, the temporary crown is placed on the abutment. In some cases, you may get the abutment and temporary crown immediately after the implants are uncovered during the second surgery, and you won't need a healing cap.

The temporary crown will be in place for four to six weeks. The gums will heal around it and will look like the gums around your natural teeth. The temporary crown is made of softer material than the permanent crown. The softer material helps to cushion and protect the implant from the pressure of chewing, and gives the jawbone the opportunity to gradually get stronger.

SingleToothImplants7

C. Temporary crowns in place

Placement of permanent crown
Month 5, 6 or 7 (no bone grafting, lower jaw)
Month 7, 8 or 9 (no bone grafting, upper jaw)
Month 9, 10 or 11 (bone grafting, lower jaw)
Month 11, 12 or 13 (bone grafting, upper jaw)

While you are wearing your temporary crown, the permanent crown will be made. It may take two to three weeks, or less, to make a permanent crown. The crown can be created from a model of your teeth and gum tissue that includes the abutment.

The crown can be either cemented or screwed to the abutment.

Crowns held in place by cement may look better because there is no screw hole in the crown to be seen. However, crowns held in place by a screw are easier for your dentist to remove if he or she needs to reach the implant or the tissue around the implant.

SingleToothImplants8   SingleToothImplants9

Permanent abutment in place

 

Permanent crown in place

Caring for Your Implants

You care for your implants the same way you care for your natural teeth. It is important to brush and floss daily. If you have any problems, see your dentist before your six- month recall visit.

What Will X-Rays Show?

On an X-ray, you will be able to see the implant in the bone, the abutment and the crown. Your dentist can look at how the implant, abutment and crown fit together and make sure that there are no problems.

Possible Complications

In addition to the risks of surgery, there is the possibility of the implant failing. An implant can fail if an infection develops, which is rare, or if the bite (the way the teeth come together) has not been properly adjusted. In addition, clenching or grinding teeth can put a lot of pressure on the implant. This may cause bone loss, and cause the implant to break or fail.

You should be aware that when implants are used to replace lower teeth, a nerve that runs through the jawbone sometimes can be injured when the bone is being drilled or the implant is being placed. This can cause numbness or tingling. If this happens, it usually involves the lower part of the lip and chin or one side of the tongue. The numbness can be temporary, until the nerve heals, or it can be permanent. However, it is not common for the nerve to be injured. X-rays and computed tomography (CT) scans can help your dentist to see where the nerve is located and minimize the possibility of injuring the nerve.

In the upper jaw, there is a risk of drilling through the jawbone into one of your sinuses (located above your upper teeth) or nasal cavity, which could cause an infection. To avoid this, special X-rays are taken before your surgery to help your surgeon to determine where your nerves and sinuses are located.

What Can You Expect From Your Implant?

Single-tooth implants will work and look like your natural teeth. However, for some patients, it will be difficult to make the implant look exactly like your natural teeth. In some cases, your implant will not be placed straight, but will be inserted on an angle in the bone because of the amount of bone that you have and the amount of bone that is needed to place the implant properly.

A crown can be made wider to close a space. Studies so far have shown that these implants can last as long as 25 years.

04/10/2013

 

© 2002- 2017 Aetna, Inc. All rights reserved.